metadata

Qu'est-ce que la lordose

La lordose est la courbure naturelle qui caractérise le bas du dos de profil, entre les côtes et le bassin. Il est très important qu'elle soit présente et le fait d'en avoir trop peu (hypolordose) ou qu'elle soit trop accentuée (hyperlordose) peut prédisposer l'individu, à plus ou moins long terme, à ce qu'apparaissent des problèmes de santé d'ordre neuro-musculo-squelettique, comme par exemple les douleurs lombaires, la sciatique et même l'hernie discale.

Hyperlordose

Hyperlordose

On entend souvent : « mon médecin m'a dit que j'avais une lordose ». Cette appellation erronée veut le plus souvent désigner l'hyperlordose, et elle est le plus souvent associée à des maux de dos aigus mais récurrents. Dans les cas les plus sévères, elle peut mener à l'instabilité vertébrale caractéristique du spondylolisthésis et occasionner une compression au niveau de la queue de cheval (terminaison de la moelle épinière) dans le canal vertébral (sténose spinale). Lorsque cette instabilité donne lieu à des symptômes sévères comme la perte de force et de sensibilité dans les jambes, ou même l'incontinence, une intervention chirurgicale peut s'avérer nécessaire.

Hypolordose

Hypolordose

L'hypolordose est non moins problématique, surtout chez l'individu vieillissant. En effet, la perte probable et graduelle de la courbure normale au bas du dos due à la sénescence peut être associée aux maux de dos chroniques, à une dégénérescence discale sévère et au développement de syndrome du dos plat dans les cas extrêmes, appelé aussi camptocormie, où l'aplatissement de la colonne vertébrale lombaire devient tel qu'il projette le torse en avant et l'individu devra éventuellement plier ses genoux pour pouvoir regarder en avant. Cette condition peut ou ne pas être associée à la scoliose dégénérative De Novo, qui vient parfois compliquer le tableau avec son instabilité vertébrale caractéristique (subluxation ou dislocation rotatoire en lombaire et sténose spinale) qui peut elle aussi occasionner des symptômes neurologiques graves.

Tous les cas d'hyperlordoses ou d'hypolordoses ne sont pas aussi graves, heureusement, mais il n'en demeure pas moins qu'il est capital de conserver une courbure saine au bas du dos si on veut vieillir en santé et s'éviter un tas d'ennuis de santé reliés à un alignement déficient du rachis lombaire.

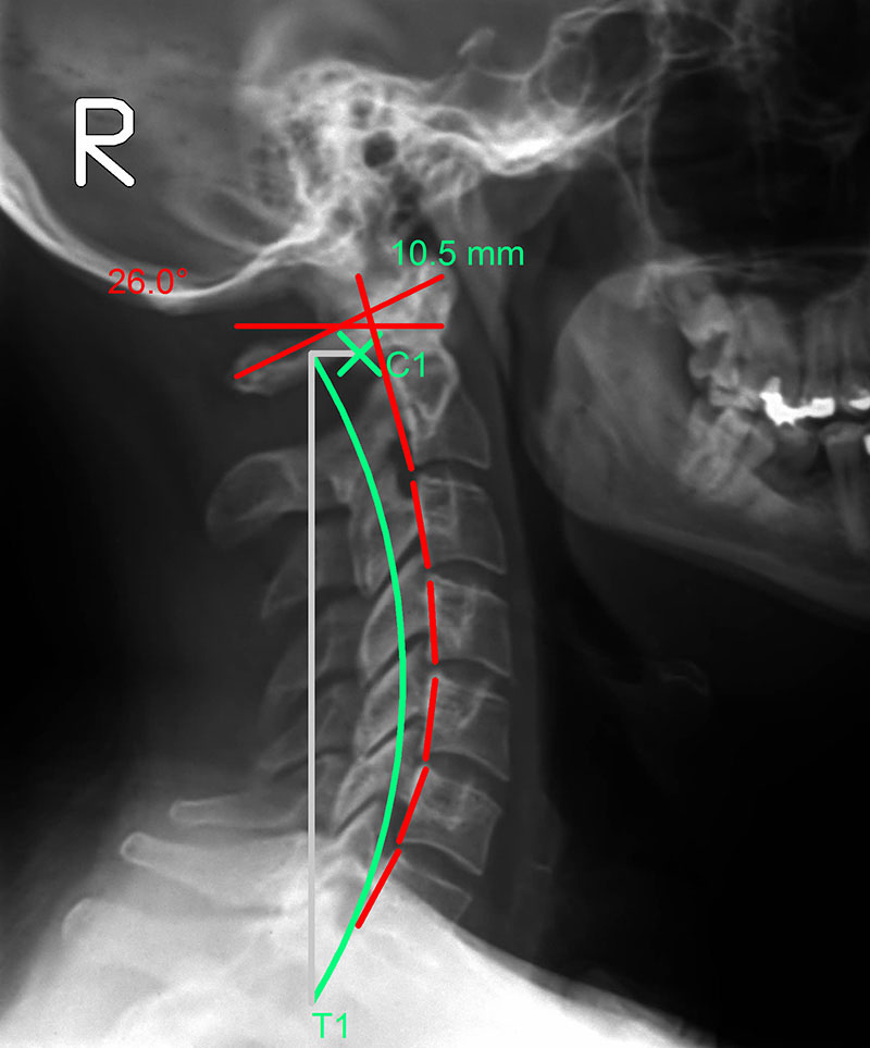
Une lordose est également présente au niveau du cou (lordose cervicale) et elle est non moins importante pour le maintien de la santé optimale du patient. Les mêmes types de conditions peuvent l'affecter et ses conséquences sont encore plus désastreuses qu'elle se trouvent en amont de la moelle épinière (près du cerveau). Il est important de faire vérifier l'alignement du cou des membres de votre famille afin de vous assurer que la subluxation vertébrale ne vienne affecter le bon fonctionnement de leur système nerveux, qui gouverne l'ensemble des fonctions du corps.

Lordose

Une lordose cervicale (du cou) saine

 

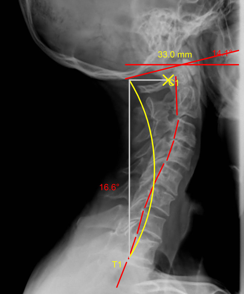
Cyphose

Un renversement de la courbure
cervicale pouvant mener à
des problèmes de santé sérieux

La ligne verte représente la courbure idéale et la rouge celle que forme la colonne vertébrale du patient vue de profil.

Quand consulter?

Si vous croyez avoir détecté une hyper ou une hypolordose ou toute autre difformité de la colonne vertébrale chez vous-même ou chez un membre de votre famille, contactez-nous afin que nous puissions établir un diagnostic certain au moyen d'un examen approprié et de radiographies.

Hyperlordose

Hyperlordose :
courbure lombaire exagérée

 

Hypolordose

Hypolordose :
courbure lombaire insuffisante

La ligne verte représente la courbure idéale et la rouge celle que forme la colonne vertébrale du patient vue de profil.

Comme la lordose peut éventuellement entraîner ces conséquences désastreuses, il est clair qu'un traitement préventif comme SpineCor®, visant les aspects neurologique, musculaire et squelettique de la maladie sera un plus pour le patient. On peut également y combiner des exercices spécifiques à la cyphose et des soins de remodelage en chiropratique pour potentialiser son effet.